眼解剖图 - 图解

眼解剖图 - 图解

眼解剖图 - 图解


 

总腱环/秦氏环-眼外肌

 

眼球筋膜-眼眶

 

眼外肌

 

泪器-眶隔

 

眼/眼球-一般解剖

 

眼睛晶状体-组织学

 

虹膜-前视图

 

虹膜角膜角-前房角镜检查

 

睫狀冠-后视图

 

视网膜-组织学

 

眶上裂/眶下裂:神经、动脉、静脉

 

眼球筋膜-眼外肌

 

脉络膜血管

 

脉络膜动脉

 

眼动脉-解剖

 

动脉 (眼眶和眼)

 

脑神经-视神经[II]/神经III - IV - VI/眼神经、眼分支[Va; V1]

 

眼眶-神经

 

眼神经、眼分支[Va; V1] (三叉神经[V])

 

视觉系统

 

眼-眼眶:额切面

 

散瞳检查(DFE)

 

睑结膜-图片

 

裂隙灯

 

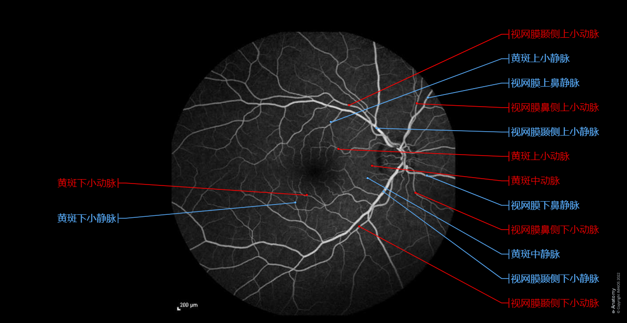
眼底荧光血管造影

 

光学相干断层扫描 (OCT)

 

总腱环/秦氏环
眼球筋膜
眼外肌
泪器
眼/眼球
眼睛晶状体
虹膜
虹膜角膜角
睫狀冠
视网膜
眶上裂/眶下裂:神经、动脉、静脉
眼球筋膜
脉络膜血管
脉络膜动脉
眼动脉
动脉 (眼眶和眼)
脑神经
眼眶
眼神经、眼分支[Va; V1] (三叉神经[V])
视觉系统
散瞳检查(DFE)
睑结膜
裂隙灯
眼底荧光血管造影
光学相干断层扫描 (OCT)

这里没有内容