Anatomy of the eye : illustrations

Anatomy of the eye : illustrations

Anatomy of the eye : illustrations


 

Common tendinous ring; Common anular tendon (Zinn) - Extraocular muscles; Extrinsic muscles of eyeball: Orbitalis; Orbital muscle, Superior rectus, Inferior rectus, Medial rectus, Superior oblique
Common tendinous ring; Common anular tendon (Zinn) : Extraocular muscles; Extrinsic muscles of eyeball

 

Fascial sheath of eyeball (Tenon) - Orbital cavity
Fascial sheath of eyeball (Tenon) : Orbital cavity

 

Extraocular muscles; Extrinsic muscles of eyeball: Superior rectus, Inferior rectus, Medial rectus, Superior oblique, Trochlea, Inferior oblique
Extraocular muscles; Extrinsic muscles of eyeball

 

Lacrimal apparatus - Orbital septum: Superior tarsus, Medial palpebral ligament, Lacrimal sac,  Lacrimal gland
Lacrimal apparatus : Orbital septum

 

Eyeball/Eye - General Anatomy: Anterior chamber, Iridocorneal angle, Posterior chamber, Vitreous body, Cornea
Eyeball/Eye : General Anatomy

 

Lens (Eye) - Histology: Capsule of lens, Lens substance Cortex of lens Nucleus of lens, Lens fibres, Lens epithelium, Zonular fibres
Lens (Eye) : Histology

 

Iris: Outer border of iris, Pupil, Folds of iris
Iris : Anterior view

 

Iridocorneal angle-Gonioscopy: Cornea, Schwalbe line, Sulcus sclerae, Trabecular tissue
Iridocorneal angle : Gonioscopy

 

Corona ciliaris-Posterior view: Ciliary body, Ciliary zonule, Zonular fibres, Ora serrata
Corona ciliaris : Posterior view

 

Retina-Histology: Rod cell, Cone cell, Retinal ganglion cell, Müller cells; Muller glia, Amacrine cell, Bipolar cell, Horizontal cell
Retina : Histology
Superior orbital fissure/Inferior orbital fissure: Nerves, Arteries, Veins, Infraorbital nerve [V2], Zygomatic nerve [V2]
Superior orbital fissure/Inferior orbital fissure: Nerves, Arteries, Veins

 

Fascial sheath of eyeball (Tenon) - Extraocular muscles; Extrinsic muscles of eyeball: Superior rectus, Inferior rectus, Medial rectus, Superior oblique, Trochlea, Inferior oblique
Fascial sheath of eyeball (Tenon) : Extraocular muscles; Extrinsic muscles of eyeball

 

Choroid blood vessels: Short posterior ciliary arteries Long posterior ciliary arteries Muscular arteries Anterior ciliary arteries, Anterior conjunctival arteries, Episcleral arteries,
Choroid blood vessels

 

Choroid-Arteries: Short posterior ciliary arteries, Long posterior ciliary arteries
Choroid : Arteries

 

Eye-Arteries: Major circulus arteriosus of iris, Anterior ciliary arteries Anterior conjunctival arteries, Episcleral arteries
Eye: Arteries

 

Orbital veins: Superior ophthalmic vein, Nasofrontal vein, Ethmoidal veins, Lacrimal vein,Vorticose veins, Vorticose vein, Inferior ophthalmic vein
Veins (Orbit&Eye)

 

Cranial nerves-Optic nerve [II]/Nerves III - IV - VI/Ophthalmic nerve; Ophthalmic division [Va; V1]: Brainstem - Cavernous sinus - Superior orbital fissure
Cranial nerves: Optic nerve [II]/Nerves III - IV - VI/Ophthalmic nerve; Ophthalmic division [Va; V1]

 

Orbit-Nerves:Lacrimal nerve [V1], Nasociliary nerve [V1], Oculomotor nerve [III], Trochlear nerve [IV], Abducent nerve; Abducens nerve [VI]
Orbit : Nerves

 

Ophthalmic nerve; Ophthalmic division [Va; V1] (Trigeminal nerve [V]): Nasociliary nerve [V1], Long ciliary nerves, Posterior ethmoidal nerve, Anterior meningeal branch, Anterior ethmoidal nerve, Infratrochlear nerve, Ciliary ganglion
Ophthalmic nerve; Ophthalmic division [Va; V1] (Trigeminal nerve [V])

 

Visual system: Optic nerve [II], Optic tract, Optic chiasma
Visual system

 

Eye - Orbital cavity: Frontal section
Eye , Orbital cavity: Frontal section

 

Dilated fundus examination (DFE): Retina, Optic disc, Macula, Fovea centralis
Dilated fundus examination (DFE)

 

Palpebral conjunctiva-Photos: Superior eyelid; Upper eyelid, Posterior surface of eyelid, Lacrimal caruncle
Palpebral conjunctiva : Photos

 

Slit lamp: Cornea, Iris, Pupil
Slit lamp

 

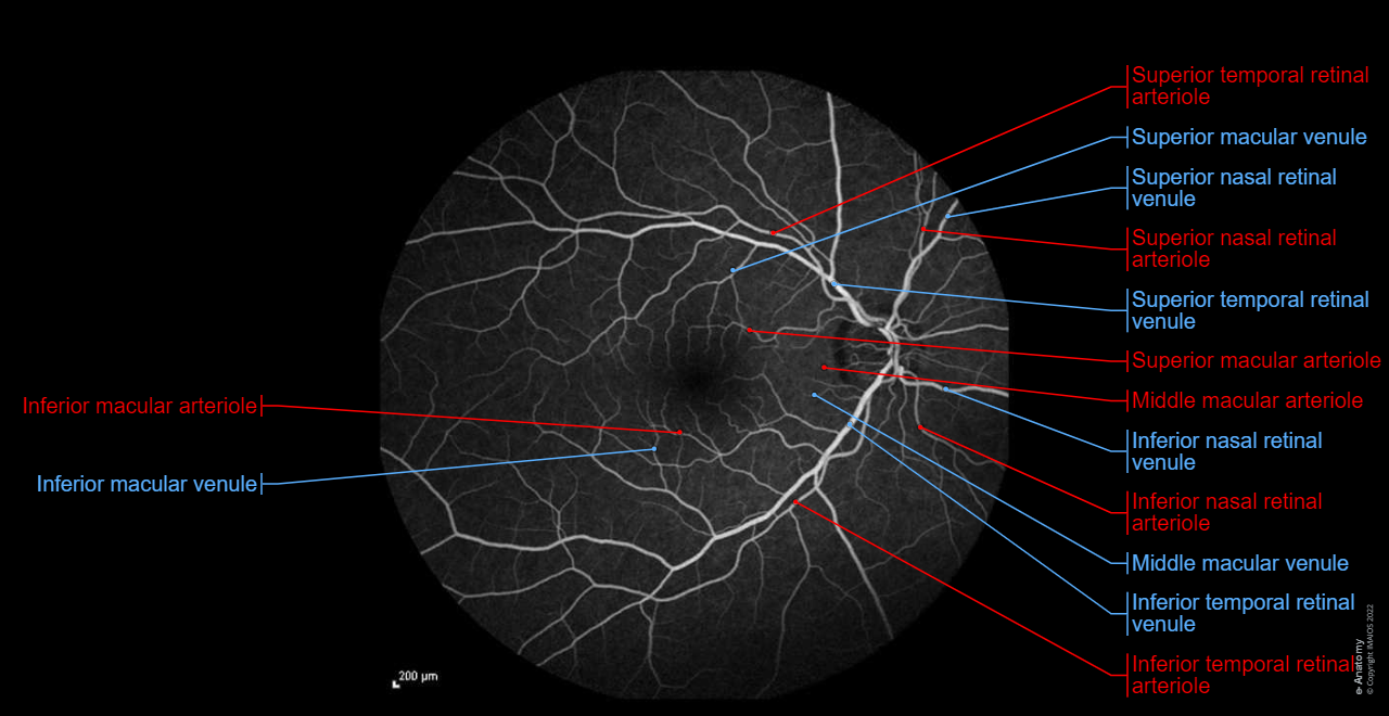
Fluorescein angiography: Central retinal artery, Central retinal vein
Fluorescein angiography

 

Optical coherence tomography (OCT): Retina, Layer of inner and outer segments, Outer limiting layer, External limiting membrane, Outer nuclear layer, Outer plexiform layer, Inner nuclear layer, Inner plexiform layer, Ganglionic layer, Layer of nerve fibres, Inner limiting layer
Optical coherence tomography (OCT)

 

Common tendinous ring; Common anular tendon (Zinn) - Extraocular muscles; Extrinsic muscles of eyeball: Orbitalis; Orbital muscle, Superior rectus, Inferior rectus, Medial rectus, Superior oblique
Common tendinous ring; Common anular tendon (Zinn) : Extraocular muscles; Extrinsic muscles of eyeball
Fascial sheath of eyeball (Tenon) - Orbital cavity
Fascial sheath of eyeball (Tenon) : Orbital cavity
Extraocular muscles; Extrinsic muscles of eyeball: Superior rectus, Inferior rectus, Medial rectus, Superior oblique, Trochlea, Inferior oblique
Extraocular muscles; Extrinsic muscles of eyeball
Lacrimal apparatus - Orbital septum: Superior tarsus, Medial palpebral ligament, Lacrimal sac,  Lacrimal gland
Lacrimal apparatus : Orbital septum
Eyeball/Eye - General Anatomy: Anterior chamber, Iridocorneal angle, Posterior chamber, Vitreous body, Cornea
Eyeball/Eye : General Anatomy
Lens (Eye) - Histology: Capsule of lens, Lens substance Cortex of lens Nucleus of lens, Lens fibres, Lens epithelium, Zonular fibres
Lens (Eye) : Histology
Iris: Outer border of iris, Pupil, Folds of iris
Iris : Anterior view
Iridocorneal angle-Gonioscopy: Cornea, Schwalbe line, Sulcus sclerae, Trabecular tissue
Iridocorneal angle : Gonioscopy
Corona ciliaris-Posterior view: Ciliary body, Ciliary zonule, Zonular fibres, Ora serrata
Corona ciliaris : Posterior view
Retina-Histology: Rod cell, Cone cell, Retinal ganglion cell, Müller cells; Muller glia, Amacrine cell, Bipolar cell, Horizontal cell
Retina : Histology
Superior orbital fissure/Inferior orbital fissure: Nerves, Arteries, Veins, Infraorbital nerve [V2], Zygomatic nerve [V2]
Superior orbital fissure/Inferior orbital fissure: Nerves, Arteries, Veins
Fascial sheath of eyeball (Tenon) - Extraocular muscles; Extrinsic muscles of eyeball: Superior rectus, Inferior rectus, Medial rectus, Superior oblique, Trochlea, Inferior oblique
Fascial sheath of eyeball (Tenon) : Extraocular muscles; Extrinsic muscles of eyeball
Choroid blood vessels: Short posterior ciliary arteries Long posterior ciliary arteries Muscular arteries Anterior ciliary arteries, Anterior conjunctival arteries, Episcleral arteries,
Choroid blood vessels
Choroid-Arteries: Short posterior ciliary arteries, Long posterior ciliary arteries
Choroid : Arteries
Eye-Arteries: Major circulus arteriosus of iris, Anterior ciliary arteries Anterior conjunctival arteries, Episcleral arteries
Eye: Arteries
Orbital veins: Superior ophthalmic vein, Nasofrontal vein, Ethmoidal veins, Lacrimal vein,Vorticose veins, Vorticose vein, Inferior ophthalmic vein
Veins (Orbit&Eye)
Cranial nerves-Optic nerve [II]/Nerves III - IV - VI/Ophthalmic nerve; Ophthalmic division [Va; V1]: Brainstem - Cavernous sinus - Superior orbital fissure
Cranial nerves: Optic nerve [II]/Nerves III
Orbit-Nerves:Lacrimal nerve [V1], Nasociliary nerve [V1], Oculomotor nerve [III], Trochlear nerve [IV], Abducent nerve; Abducens nerve [VI]
Orbit : Nerves
Ophthalmic nerve; Ophthalmic division [Va; V1] (Trigeminal nerve [V]): Nasociliary nerve [V1], Long ciliary nerves, Posterior ethmoidal nerve, Anterior meningeal branch, Anterior ethmoidal nerve, Infratrochlear nerve, Ciliary ganglion
Ophthalmic nerve; Ophthalmic division [Va; V1] (Trigeminal nerve [V])
Visual system: Optic nerve [II], Optic tract, Optic chiasma
Visual system
Eye - Orbital cavity: Frontal section
Eye , Orbital cavity: Frontal section
Dilated fundus examination (DFE): Retina, Optic disc, Macula, Fovea centralis
Dilated fundus examination (DFE)
Palpebral conjunctiva-Photos: Superior eyelid; Upper eyelid, Posterior surface of eyelid, Lacrimal caruncle
Palpebral conjunctiva : Photos
Slit lamp: Cornea, Iris, Pupil
Slit lamp
Fluorescein angiography: Central retinal artery, Central retinal vein
Fluorescein angiography
Optical coherence tomography (OCT): Retina, Layer of inner and outer segments, Outer limiting layer, External limiting membrane, Outer nuclear layer, Outer plexiform layer, Inner nuclear layer, Inner plexiform layer, Ganglionic layer, Layer of nerve fibres, Inner limiting layer
Optical coherence tomography (OCT)

No content available