公狗腹部和骨盆解剖图(CT)

公狗腹部和骨盆解剖图(CT)

公狗腹部和骨盆解剖图(CT)

  • Antoine MICHEAU, MD , Denis HOA, MD , Susanne AEB Boroffka, PhD - dipl. ECVDI
    • Antoine MICHEAU, MD : 2 Allée Charles Darwin, 34170 Castelnau-le-lez
    • Denis HOA, MD : 2 Allée Charles Darwin, 34170 Castelnau-le-lez
    • Susanne AEB Boroffka, PhD - dipl. ECVDI : 2 Allée Charles Darwin, 34170 Castelnau-le-lez
  • 发布日期: 2019年4月5日 | 最新更新 2025年11月24日
  • https://doi.org/10.37019/vet-anatomy/636316.cn ISSN 2534-5087

vet-Anatomy兽医图集的本模块是关于CT扫描的犬类腹部和骨盆。
CT图像来自一只健康的6岁阉割雄性犬。

在vet-Anatomy动物图集的此模块中,计算机断层扫描(CT)显示了标有解剖结构的犬科腹腔和骨盆横截面,并用3D图像显示犬科腹部。

CT图像存在3个平面方向(横向,矢状和背侧),并且使用两种对照方式(软组织/血管和骨骼)展现。本模块的末尾提供其他3D解剖图像,便于进一步了解犬科总体解剖结构,展示了骨骼、内脏(肝脏、脾脏、胰腺、消化道)、泌尿生殖系统、动脉、全身静脉系统(主要是尾腔静脉及其分支)、门静脉系统、肌肉和表面解剖的三维容积透视图。

标记了834个解剖部分,并按不同区域(筛选关键字)进行归类:

  • 身体部位
    • 胸骨
    • 脊柱
    • 下肢骨
  • 关节
  • 肌肉
    • 背肌
    • 胸肌
    • 腹肌
    • 会阴肌
    • 尾肌
    • 下肢肌
  • 筋膜
  • 呼吸系统
    • 肺叶
    • 胸膜
  • 消化系统
    • 食管
    • 小肠
    • 大肠
    • 肝脏分割
    • 膽管
    • 胰腺
    • 腹膜
  • 泌尿生殖系统
    • 输尿管
    • 膀胱
    • 雄性尿道
  • 男性生殖器
  • 会阴
  • 动脉
    • 胸主动脉
    • 腹主动脉
    • 髂内动脉
    • 髂外动脉
  • 静脉
    • 颅腔静脉
    • 尾腔静脉
    • 肝叶静脉
    • 门静脉
    • 门叶静脉
  • 淋巴系统
    • 淋巴结
    • 淋巴干和管
  • 神经
    • 脊神经
    • 自主神经系统

毕业于欧洲兽医诊断影像学学会的Susanne AEB Boroffka博士(荷兰乌得勒支)对健康的6岁雄性阉割犬(拉布拉多猎犬)注射碘化造影剂并完成计算机断层扫描。

三维容积透视图是由Antoine Micheau博士在GE ADW上使用相同的CT医学影像成像数据而创建。

放射科医生(法国蒙彼利埃)Antoine Micheau博士和放射科医生(法国蒙彼利埃)Denis Hoa博士完成了图像显示、解剖标记和解剖释义工作。

术语使用《兽医解剖学名典》(第六版,2018年,ICVGAN)中定义的拉丁术语标记。它们由Imaios的医学博士Antoine Micheau从拉丁文翻译成英文和法文。

关于解剖,作者给出以下说明:

  • 由于对该犬进行了阉割手术,因此没有睾丸和阴囊,输精管也因此萎缩。
  • 在CT中无法直接观察到某些结构,例如神经或腹膜褶,它们的走向和位置是根据动脉或其他相邻结构中估测得出。
  • 肝叶静脉和门叶静脉未在NAV中列出(也未在人体解剖术语中列出),但我们使用了肝脏分割的命名法添加了这些名称。
  • 该犬在CT上的肝脏分割是Antoine Micheau博士的原创工作:

在犬科动物中,基于解剖学考虑,肝脏分割描述为具有四个叶和四个亚叶以及两个突。这是NAV上使用的术语。 

对于某些作者而言,基于人类肝脏八段分段法与犬肝血管解剖结构之间的类比,使用犬肝静脉系统血管解剖可能会减少混淆,因此对该器官的外科手术(以及放射)方法更为有用。 

在vet-Anatomy中,我们使用了L. Mari和F. Acocella的发表刊物对犬科动物进行了肝脏分割:犬肝叶和人类肝脏部分看起来具有一定相似性,因此我们采用人类解剖术语进行改编: 

部分分区NAV中的常规命名法建议的节段编号建议的命名法人类的对应节段
左外Lobus hepatis sinister lateralis

第二段

第二a段(背侧)

第二b段(腹侧)

第二段-肝左外叶左后侧部分;第二段
左内Lobus hepatis sinister medialis第三段第三段-肝左内叶左前侧部分;第三段
中央方形Lobus quadratus第四段第四段-肝方叶左内侧部分;第四段
右内侧Lobus hepatis dexter medialis第五段第五段-肝右内叶前内侧部分;五区
尾状叶乳突Processus papillaris第一段第一段-乳头状突后段;尾状叶;第一段
右外Lobus hepatis dexter lateralis

第六段

第六a段(背侧)

第六b段(腹侧)

第二段-肝右外叶前侧节段;第六段
尾状叶尾状突Processus caudatus第七段第七段-尾状突后外侧部分;第七段
     狗没有第八段后内侧部分;第八段

 

有关肝脏分割的注释:

  • 在NAV中,尾突和乳突包含在同一个叶中——即尾状叶。但是由于这两个突在左右血管形成方面有所不同,因此不能在此肝脏分割中的同一叶中,这与人类肝脏分割相反,在人类肝脏分割中,尾状叶是第一部分,并且包含尾突和乳突。
  • 该犬中没有第八部分。

 

Hepatic segmentation - Dog - CT
Hepatic segmentation - Dog - CT

 

Cross-sectional labeled anatomy of the abdomen and male pelvis of the dog on CT imaging (liver, hepatic segmentation, pancreas, biliary tract, digestive tract, small and large intestine, kidney, bladder, genital organs, peritoneum)
Cross-sectional labeled anatomy of the abdomen and male pelvis of the dog on CT imaging (liver, hepatic segmentation, pancreas, biliary tract, digestive tract, small and large intestine, kidney, bladder, genital organs, peritoneum)

 

Dog - Peritoneal cavity: Peritoneum, Omental bursa, Greater omentum [Epiplon], Mesentery, Lesser omentum
Dog - Peritoneal cavity: Peritoneum, Omental bursa, Greater omentum [Epiplon], Mesentery, Lesser omentum

 

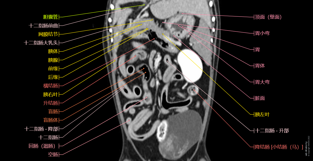
Anatomy of the male canine abdomen and pelvis on CT imaging: Alimentar canal, Stomach, Colon
Anatomy of the male canine abdomen and pelvis on CT imaging: Alimentar canal, Stomach, Colon

 

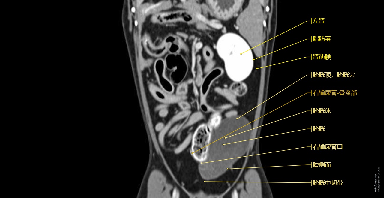
Dog - Urinary organs: Kidney, Ureter, Urinary bladder, Male urethra
Dog - Urinary organs: Kidney, Ureter, Urinary bladder, Male urethra

 

Kidney - Dog - Anatomy atlas
Kidney - Dog - Anatomy atlas

 

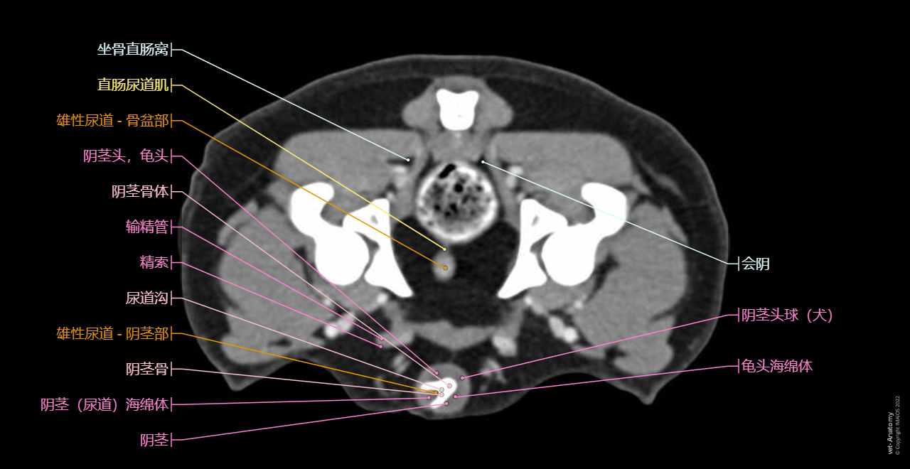
Dog - Pelvis - Perineum - Anatomy
Dog - Pelvis - Perineum - Anatomy

 

Dog - Coxal bone - Penile bone [Baculum]
Dog - Coxal bone - Penile bone [Baculum]

 

Dog - Osteology:3D - Bones - Anatomical pictures
Dog - Osteology:3D - Bones - Anatomical pictures

 

3D - Anatomy atlas - Dog: Liver, Gallbladder, Liver, Pancreas, Spleen
3D - Anatomy atlas - Dog: Liver, Gallbladder, Liver, Pancreas, Spleen

 

Dog - Digestive system - 3D - Anatomy: Stomach, Duodenum, Jejunum, Ileum, Small intestine, Large intestine, Colon, Rectum
Dog - Digestive system - 3D - Anatomy: Stomach, Duodenum, Jejunum, Ileum, Small intestine, Large intestine, Colon, Rectum

 

Dog - 3D - Urogenital system: Penis, Penile bone [Baculum], Urinary bladder, Male urethra, Male genital organs
Dog - 3D - Urogenital system: Penis, Penile bone [Baculum], Urinary bladder, Male urethra, Male genital organs

 

Dog - Abdominal aorta - Anatomy - 3D: Celiac artery, Splenic artery, Hepatic artery, Cranial mesenteric artery, Caudal gluteal artery, Internal pudendal artery
Dog - Abdominal aorta - Anatomy - 3D: Celiac artery, Splenic artery, Hepatic artery, Cranial mesenteric artery, Caudal gluteal artery, Internal pudendal artery

 

Angiology - 3D - Animal: Caudal vena cava - Dog
Angiology - 3D - Animal: Caudal vena cava - Dog

 

Dog - Portal vein - Splenic vein - Cranial mesenteric vein - Lobar portal veins - Liver
Dog - Portal vein - Splenic vein - Cranial mesenteric vein - Lobar portal veins - Liver

 

Veterinary anatomy - 3D: Dog - Splanchnology - Abdominal cavity
Veterinary anatomy - 3D: Dog - Splanchnology - Abdominal cavity

 

Abdomen and pelvis anatomy of the dog on CT - Anatomy atlas - 3D: Myology - Muscles of abdomen - Muscles of the tail [coccygeal]
Abdomen and pelvis anatomy of the dog on CT - Anatomy atlas - 3D: Myology - Muscles of abdomen - Muscles of the tail [coccygeal]

 

Surface anatomy - 3D: Trunk (Dog)
Surface anatomy - 3D: Trunk (Dog)

 

Hepatic segmentation - Dog - CT
Hepatic segmentation
Cross-sectional labeled anatomy of the abdomen and male pelvis of the dog on CT imaging (liver, hepatic segmentation, pancreas, biliary tract, digestive tract, small and large intestine, kidney, bladder, genital organs, peritoneum)
Cross
Dog - Peritoneal cavity: Peritoneum, Omental bursa, Greater omentum [Epiplon], Mesentery, Lesser omentum
Dog
Anatomy of the male canine abdomen and pelvis on CT imaging: Alimentar canal, Stomach, Colon
Anatomy of the male canine abdomen and pelvis on CT imaging: Alimentar canal, Stomach, Colon
Dog - Urinary organs: Kidney, Ureter, Urinary bladder, Male urethra
Dog
Kidney - Dog - Anatomy atlas
Kidney
Dog - Pelvis - Perineum - Anatomy
Dog
Dog - Coxal bone - Penile bone [Baculum]
Dog
Dog - Osteology:3D - Bones - Anatomical pictures
Dog
3D - Anatomy atlas - Dog: Liver, Gallbladder, Liver, Pancreas, Spleen
3D
Dog - Digestive system - 3D - Anatomy: Stomach, Duodenum, Jejunum, Ileum, Small intestine, Large intestine, Colon, Rectum
Dog
Dog - 3D - Urogenital system: Penis, Penile bone [Baculum], Urinary bladder, Male urethra, Male genital organs
Dog
Dog - Abdominal aorta - Anatomy - 3D: Celiac artery, Splenic artery, Hepatic artery, Cranial mesenteric artery, Caudal gluteal artery, Internal pudendal artery
Dog
Angiology - 3D - Animal: Caudal vena cava - Dog
Angiology
Dog - Portal vein - Splenic vein - Cranial mesenteric vein - Lobar portal veins - Liver
Dog
Veterinary anatomy - 3D: Dog - Splanchnology - Abdominal cavity
Veterinary anatomy
Abdomen and pelvis anatomy of the dog on CT - Anatomy atlas - 3D: Myology - Muscles of abdomen - Muscles of the tail [coccygeal]
Abdomen and pelvis anatomy of the dog on CT
Surface anatomy - 3D: Trunk (Dog)
Surface anatomy
  • Miller’s Anatomy of the Dog, 4th Edition
  • Veterinary Anatomy of Domestic Mammals. Textbook and Colour Atlas. Edited by: Horst Erich König. Veterinarmedizinische Universität Wien, Austria
  • Anatomie comparée des mammifères domestiques: Splanchnologie - Robert Barone
  • Illustrated Veterinary Anatomical Nomenclature. Oskar Schaller, Gheorghe M. Constantinescu. Georg Thieme Verlag, 2007
  • Nomina Anatomica Veterinaria - 6th Edition – 2017
  • Mari L, Acocella F. Vascular anatomy of canine hepatic venous system: a basis for liver surgery. Anat Histol Embryol. 2015 Jun;44(3):212-24. doi:10.1111/ahe.12129. Epub 2014 Aug 5. PubMed PMID: 25090952.