Anatomy of the male canine abdomen and pelvis on CT imaging

Anatomy of the male canine abdomen and pelvis on CT imaging

Anatomy of the male canine abdomen and pelvis on CT imaging

  • Antoine MICHEAU, MD , Denis HOA, MD , Susanne AEB Boroffka, PhD - dipl. ECVDI
    • Antoine MICHEAU, MD : 2 Allée Charles Darwin, 34170 Castelnau-le-lez
    • Denis HOA, MD : 2 Allée Charles Darwin, 34170 Castelnau-le-lez
    • Susanne AEB Boroffka, PhD - dipl. ECVDI : 2 Allée Charles Darwin, 34170 Castelnau-le-lez
  • Publication date: Apr 5, 2019 | Last update: Nov 24, 2025
  • https://doi.org/10.37019/vet-anatomy/636316 ISSN 2534-5087

This vet-Anatomy module presents an anatomy atlas of the abdomen and pelvis of the dog in CT.
CT images are from a healthy 6-year-old castrated male dog.

This module displays cross-sectional labeled anatomy images of the canine abdominal cavity and the pelvis on a Computed Tomography (CT) and 3D images of the abdomen of the dog.

CT images are available in 3 different planes (transverse, sagittal and dorsal) with two kinds of contrast (soft tissues/vessels and bones). Additional 3D anatomical images are available at the end of module, for a better understanding of gross anatomy of the dog, 3D volume rendering of bones, splanchnology (liver, spleen, pancreas, digestive tract), urogenital system, arteries, systemic venous system (mainly caudal vena cava and its branches), portal venous system, muscles, and surface anatomy.

834 anatomical structures have been labelled, available in different sections (filters):

  • Body parts
  • Regions
  • Bones
    • Ribs
    • Sternum
    • Vertebral column
    • Bones of pelvic limb
  • Joints
  • Muscles
    • Muscles of back
    • Muscles of thorax
    • Muscles of abdomen
    • Muscles of perineum
    • Muscles of tail
    • Muscles of pelvic limb
  • Fascia
  • Respiratory apparatus
    • Lungs
    • Pulmonary lobes
    • Pleura
  • Digestive system
    • Oesophagus
    • Stomach
    • Small intestine
    • Large intestine
    • Liver
    • Hepatic segmentation
    • Biliary tract
    • Pancreas
    • Spleen
    • Peritoneum
  • Urogenital system
    • Kidney
    • Ureter
    • Urinary bladder
    • Male urethra
  • Male genital organs
  • Perineum
  • Arteries
    • Thoracic aorta
    • Abdominal aorta
    • Internal iliac artery
    • External iliac artery
  • Veins
    • Cranial vena cava
    • Caudal vena cava
    • Lobar hepatic veins
    • Portal vein
    • Lobar portal veins
  • Lymphatic system
    • Lymph nodes
    • Lymphatic trunks and ducts
  • Nerves
    • Spinal nerves
    • Autonomic nervous system

This computed tomography with injection of iodinated contrast agent was performed on a healthy 6-year-old castrated male dog (Labrador Retriever) by Dr. Susanne AEB Boroffka, dipl. ECVDI, PhD (Utrecht, Netherland).

3D Volume Rendering images were created from the same CT dicom data by Antoine Micheau MD (Radiologist - Montpellier, France), on a GE ADW.

Images displaying, anatomical labelling and anatomical definitions were created by Antoine Micheau MD (Radiologist - Montpellier, France) and Denis Hoa MD (Radiologist -Montpellier, France).

Terms are labelled using the Latin terms defined in the Nomina Anatomica Veterinaria (Sixth edition - 2018 by ICVGAN). They were translated from latin to english and french by Antoine Micheau MD, IMAIOS.

Anatomical notes from the authors:

  • There is no testicle and scrotum, and there are atrophic deferent ducts due to the sequel of castration surgery.
  • Some structures such as nerves, or peritoneal folds are not directly seen in CT, and their path and position are approximated from arteries or other adjacent structures.
  • The hepatic lobar veins and lobar portal veins are not listed in the NAV (and also not in the human Terminologia Anatomica) but we added these names using the nomenclature of the hepatic segmentation.
  • The canine hepatic segmentation of the dog on CT is an original work from Antoine Micheau MD:

In dogs the segmentation of the liver is described with four lobes and four sublobes as well as two processes, based on anatomical consideration. This is the nomenclature used by the NAV. 

For some authors, the use of a vascular anatomy of canine hepatic venous system based on the analogies between Couinaud’s segmentation of the human liver and the vascular anatomy of canine liver, could be less confounding and, therefore, more useful for the surgical (and also radiological) approach to this organ. 

In vet-Anatomy, we used the publication of L. Mari and F. Acocella to provide an hepatic segmentation of the dog: the canine liver lobes and human liver segments appear comparable so we use the terminology adapted from the human Terminologia Anatomica: 

SectionDivisionLobeConventional nomenclature in the NAVProposed segment numberingProposed nomenclatureEquivalent segment in human
LeftLeftLeft lateralLobus hepatis sinister lateralis

II

IIa (dorsal)

IIb (ventral)

Segment II – Left lateral hepatic lobeLeft posterior lateral segment; Segment II
Left medialLobus hepatis sinister medialisIIISegment III – Left medial hepatic lobeLeft anterior lateral segment; Segment III
CentralQuadrateLobus quadratusIVSegment IV – Quadrate lobeLeft medial segment; Segment IV
Right medialLobus hepatis dexter medialisVSegment V – Right medial hepatic lobeAnterior medial segment; Segment V
Papillary process of caudate lobeProcessus papillarisISegment I – Papillary processPosterior segment; Caudate lobe; Segment I
RightRightRight lateralLobus hepatis dexter lateralis

VI

VIa (dorsal)

VIb (ventral)

Segment VI – Right lateral hepatic lobeAnterior lateral segment; Segment VI
Caudate process of caudate lobeProcessus caudatusVIISegment VII – Caudate processPosterior lateral segment; Segment VII
     No segment VIII in dogPosterior medial segment; Segment VIII

 

Notes for the hepatic segmentation:

  • In the NAV, the caudate process and papillary process are included in a same lobe, the caudate lobe. But as these two processes differ by a right or left vascularization, they can’t be included in a same lobe in this hepatic segmentation, opposite to the human hepatic segmentation where the caudate lobe is the segment I and include the caudate process and the papillary process.
  • There is no segment VIII in the dog.

 

Hepatic segmentation - Dog - CT
Hepatic segmentation - Dog - CT

 

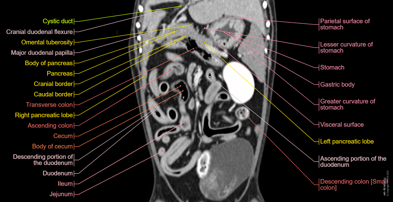
Cross-sectional labeled anatomy of the abdomen and male pelvis of the dog on CT imaging (liver, hepatic segmentation, pancreas, biliary tract, digestive tract, small and large intestine, kidney, bladder, genital organs, peritoneum)
Cross-sectional labeled anatomy of the abdomen and male pelvis of the dog on CT imaging (liver, hepatic segmentation, pancreas, biliary tract, digestive tract, small and large intestine, kidney, bladder, genital organs, peritoneum)

 

Dog - Peritoneal cavity: Peritoneum, Omental bursa, Greater omentum [Epiplon], Mesentery, Lesser omentum
Dog - Peritoneal cavity: Peritoneum, Omental bursa, Greater omentum [Epiplon], Mesentery, Lesser omentum

 

Anatomy of the male canine abdomen and pelvis on CT imaging: Alimentar canal, Stomach, Colon
Anatomy of the male canine abdomen and pelvis on CT imaging: Alimentar canal, Stomach, Colon

 

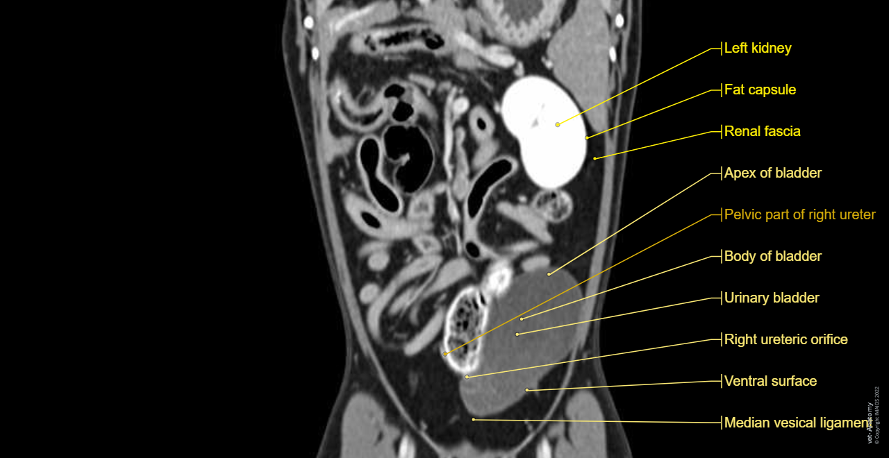
Dog - Urinary organs: Kidney, Ureter, Urinary bladder, Male urethra
Dog - Urinary organs: Kidney, Ureter, Urinary bladder, Male urethra

 

Kidney - Dog - Anatomy atlas
Kidney - Dog - Anatomy atlas

 

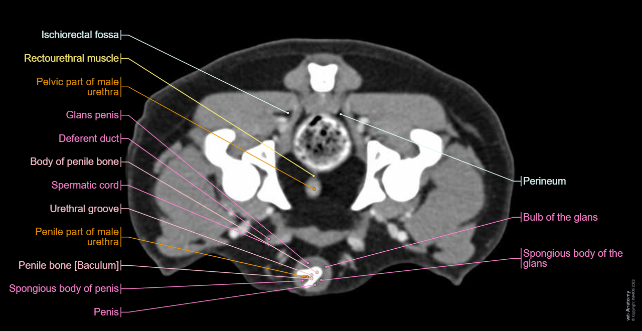
Dog - Pelvis - Perineum - Anatomy
Dog - Pelvis - Perineum - Anatomy

 

Dog - Coxal bone - Penile bone [Baculum]
Dog - Coxal bone - Penile bone [Baculum]

 

Dog - Osteology:3D - Bones - Anatomical pictures
Dog - Osteology:3D - Bones - Anatomical pictures

 

3D - Anatomy atlas - Dog: Liver, Gallbladder, Liver, Pancreas, Spleen
3D - Anatomy atlas - Dog: Liver, Gallbladder, Liver, Pancreas, Spleen

 

Dog - Digestive system - 3D - Anatomy: Stomach, Duodenum, Jejunum, Ileum, Small intestine, Large intestine, Colon, Rectum
Dog - Digestive system - 3D - Anatomy: Stomach, Duodenum, Jejunum, Ileum, Small intestine, Large intestine, Colon, Rectum

 

Dog - 3D - Urogenital system: Penis, Penile bone [Baculum], Urinary bladder, Male urethra, Male genital organs
Dog - 3D - Urogenital system: Penis, Penile bone [Baculum], Urinary bladder, Male urethra, Male genital organs

 

Dog - Abdominal aorta - Anatomy - 3D: Celiac artery, Splenic artery, Hepatic artery, Cranial mesenteric artery, Caudal gluteal artery, Internal pudendal artery
Dog - Abdominal aorta - Anatomy - 3D: Celiac artery, Splenic artery, Hepatic artery, Cranial mesenteric artery, Caudal gluteal artery, Internal pudendal artery

 

Angiology - 3D - Animal: Caudal vena cava - Dog
Angiology - 3D - Animal: Caudal vena cava - Dog

 

Dog - Portal vein - Splenic vein - Cranial mesenteric vein - Lobar portal veins - Liver
Dog - Portal vein - Splenic vein - Cranial mesenteric vein - Lobar portal veins - Liver

 

Veterinary anatomy - 3D: Dog - Splanchnology - Abdominal cavity
Veterinary anatomy - 3D: Dog - Splanchnology - Abdominal cavity

 

Abdomen and pelvis anatomy of the dog on CT - Anatomy atlas - 3D: Myology - Muscles of abdomen - Muscles of the tail [coccygeal]
Abdomen and pelvis anatomy of the dog on CT - Anatomy atlas - 3D: Myology - Muscles of abdomen - Muscles of the tail [coccygeal]

 

Surface anatomy - 3D: Trunk (Dog)
Surface anatomy - 3D: Trunk (Dog)

 

 

Hepatic segmentation - Dog - CT
Hepatic segmentation
Cross-sectional labeled anatomy of the abdomen and male pelvis of the dog on CT imaging (liver, hepatic segmentation, pancreas, biliary tract, digestive tract, small and large intestine, kidney, bladder, genital organs, peritoneum)
Cross
Dog - Peritoneal cavity: Peritoneum, Omental bursa, Greater omentum [Epiplon], Mesentery, Lesser omentum
Dog
Anatomy of the male canine abdomen and pelvis on CT imaging: Alimentar canal, Stomach, Colon
Anatomy of the male canine abdomen and pelvis on CT imaging: Alimentar canal, Stomach, Colon
Dog - Urinary organs: Kidney, Ureter, Urinary bladder, Male urethra
Dog
Kidney - Dog - Anatomy atlas
Kidney
Dog - Pelvis - Perineum - Anatomy
Dog
Dog - Coxal bone - Penile bone [Baculum]
Dog
Dog - Osteology:3D - Bones - Anatomical pictures
Dog
3D - Anatomy atlas - Dog: Liver, Gallbladder, Liver, Pancreas, Spleen
3D
Dog - Digestive system - 3D - Anatomy: Stomach, Duodenum, Jejunum, Ileum, Small intestine, Large intestine, Colon, Rectum
Dog
Dog - 3D - Urogenital system: Penis, Penile bone [Baculum], Urinary bladder, Male urethra, Male genital organs
Dog
Dog - Abdominal aorta - Anatomy - 3D: Celiac artery, Splenic artery, Hepatic artery, Cranial mesenteric artery, Caudal gluteal artery, Internal pudendal artery
Dog
Angiology - 3D - Animal: Caudal vena cava - Dog
Angiology
Dog - Portal vein - Splenic vein - Cranial mesenteric vein - Lobar portal veins - Liver
Dog
Veterinary anatomy - 3D: Dog - Splanchnology - Abdominal cavity
Veterinary anatomy
Abdomen and pelvis anatomy of the dog on CT - Anatomy atlas - 3D: Myology - Muscles of abdomen - Muscles of the tail [coccygeal]
Abdomen and pelvis anatomy of the dog on CT
Surface anatomy - 3D: Trunk (Dog)
Surface anatomy
  • Miller’s Anatomy of the Dog, 4th Edition
  • Veterinary Anatomy of Domestic Mammals. Textbook and Colour Atlas. Edited by: Horst Erich König. Veterinarmedizinische Universität Wien, Austria
  • Anatomie comparée des mammifères domestiques: Splanchnologie - Robert Barone
  • Illustrated Veterinary Anatomical Nomenclature. Oskar Schaller, Gheorghe M. Constantinescu. Georg Thieme Verlag, 2007
  • Nomina Anatomica Veterinaria - 6th Edition – 2017
  • Mari L, Acocella F. Vascular anatomy of canine hepatic venous system: a basis for liver surgery. Anat Histol Embryol. 2015 Jun;44(3):212-24. doi:10.1111/ahe.12129. Epub 2014 Aug 5. PubMed PMID: 25090952.